收藏:0- 资源标识:CSTR:13153.11.20250630.MID.RMJFBMRI.01.KIZ
- 数据时间:2023年7月4日-2025年6月30日
- 动物品种:猕猴
- 关键词:2023-2025年,猕猴,脑部磁共振,3D影像,T1w序列,T2w序列
- 学科分类:神经生物学
- 数据分类:医学影像学数据
- 共享方式:协议共享
- 所有者:中国科学院昆明动物研究所姚永刚课题组
- 单位:中国科学院昆明动物研究所
- 地址:云南省昆明市盘龙区茨坝街道龙欣路17号
- 邮编:650201
- 邮箱:qiuminghao@mail.kiz.ac.cn
- 联系人:李瑞
- 服务电话:0871-68424851
- 服务邮箱:nhp@mail.kiz.ac.cn
- 服务单位:国家非人灵长类实验动物资源库

收藏
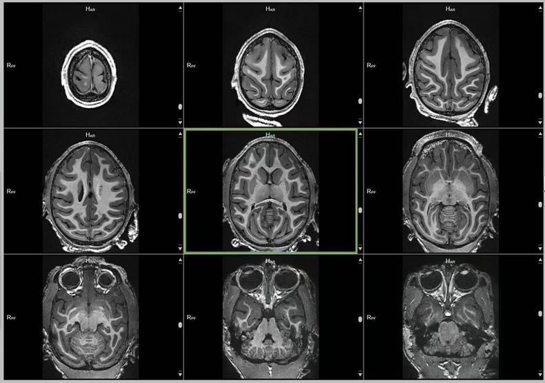
预定本数据集为 2023-2025 年对 114 只 0-3 岁幼年健康雌性猕猴的脑部磁共振扫描收集的数据,主要包括 T1w 序列和 T2w 序列影像(3D 影像),对于神经学、心理学、行为学等多个相关学科的研究提供丰富的脑数据支撑。
为尊重知识产权、保障数据作者和数据服务提供者的权益,请数据使用者在基于本数据所产生的研究成果(包括项目评估报告、验收报告,以及学术论文或毕业论文等)中标注数据来源,并按照[文献引用方式]标注需引用的参考文献,同时将可公开成果提交到“国家非人灵长类实验动物资源库”。
数据来源引用参考以下规范:
中文表达方式:数据来源于国家科技基础条件平台—国家非人灵长类实验动物资源库(http://nhp.kiz.ac.cn);
英文表达方式:National Resource Center for Non-Human Primates, National Science & Technology Infrastructure of China (http://nhp.kiz.ac.cn)。
致谢方式参考以下规范:
中文致谢方式:感谢“国家科技基础条件平台-国家非人灵长类实验动物资源库(http://nhp.kiz.ac.cn)”提供数据支撑。
英文致谢方式:Acknowledgement for the data support from " National Resource Center for Non-Human Primates, National Science & Technology Infrastructure of China. (http://nhp.kiz.ac.cn)".
* 本平台发布的科学数据仅限科学研究使用。
* 本平台对其发布的、或由数据贡献者贡献的数据产品和服务,以及平台上发布的所有资源拥有版权等知识产权,受法律保护。
* 未经本平台书面许可,任何单位及个人不得以任何方式或理由对上述数据产品、服务、信息、材料的任何部分进行复制、修改、抄录、传播及销售。
* 凡侵犯本平台版权等知识产权的,本平台必依法追究其法律责任,特此郑重声明!
- 数据详细描述
- 数据文件列表
- 文献引用方式
-
a.物种:猕猴
b.实验动物信息
样本数量:114只
年龄分布:0-3岁
重量分布:1-6kg
性别分布:雌性114只
c.扫描仪规格
扫描仪类型:联影uMRNX 3.0T磁共振扫描仪器
线圈:12通道猕猴专用头线圈
d.扫描程序
动物福利伦理:由中国科学院昆明动物研究所实验动物福利伦理委员会批准。
动物护理和饲养:中国科学院昆明动物研究所实验动物中心
麻醉程序:阿托品(0.5mg/ml)-氯胺酮(0.05mg/ml)-丙泊酚(2mg/ml),阿托品和氯胺酮之间间5-10分钟,氯胺酮和丙泊酚之间间隔5-10分钟。
麻醉和扫描间隔时间:从阿托品算起,大约25分钟,从氯胺酮算起大约15分钟。
扫描体位:仰卧头先进
-
原始数据,未经加工处理。
-
数据集中的所有数据的实验猕猴均来自中国科学院昆明动物研究所实验动物中心,该中心于2008年通过国际AAALAC认证,2018年全国首家通过CNAS认可,实验动物管理达到国际管理规范。
数据采集使用联影uMRNX 3.0T磁共振成像仪器,该设备质量符合国家相关标准,所有设备操作者均接受上岗培训,以确保获得合格的高清晰度图像。